Smile Makeover Treatment in Green Bay, WI
Proudly Flash Your Smile Again
- Get a smile preview with advanced technology
- Choose from several cosmetic treatments
- Rely on our years of experience

Revitalize Your Look With a Smile Makeover in Green Bay
At Allouez Family Dental, our dentists specialize in transforming ordinary smiles into extraordinary ones. Your smile is the first thing people notice, and it should reflect your vibrant personality. We will tailor a Green Bay smile makeover to your individual needs, ensuring you achieve the stunning results you want. By investing in a cosmetic makeover, you can expect:
- Improved self-esteem and confidence
- A more youthful, refreshed appearance
- Enhanced oral health and hygiene
- Straighter, perfectly aligned teeth
- A brighter, whiter, and more radiant smile
- Long-lasting, natural-looking results
- Increased professional and social success
Schedule your consultation today by calling us at 920-339-8980. Your smile is a powerful asset, and our team is dedicated to helping you make the most of it!

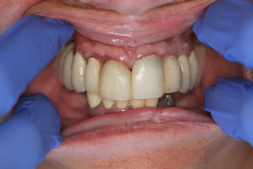
Before

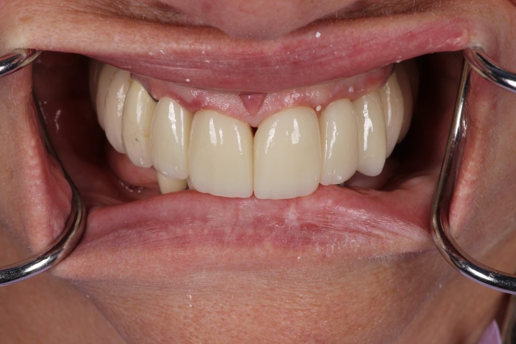
After
Enjoy Your Life More With Smile Makeover Treatment
At Allouez Family Dental, our smile makeover service is a comprehensive and personalized treatment plan designed to address your unique goals. Our dedicated and experienced dental team will work closely with you to create a customized plan. We can even show you a preview of your new smile before you begin treatment.
Your care will combine two or more of the following services to achieve the smile of your dreams:
- Dental Veneers – These thin, custom-made shells cover imperfections and enhance the shape and color of your teeth.
- Teeth Whitening – Professional-grade bleaching will remove stains and brighten your smile in less time than store-bought options.
- Tooth Bonding – This quick and painless procedure repairs chips, cracks, and gaps using composite resin.
- Gummy Smile Treatment – Shaping your gums with a gentle laser will create a more balanced and harmonious smile.
- Invisalign – Clear aligners will straighten teeth in months, not years, and improve the overall appearance of your smile.
Combining these treatments can address a range of concerns, from discoloration and misalignment to uneven spacing and gum esthetics. Our goal is to create a smile that not only looks amazing, but also feels natural and comfortable. Let us help you unlock a more confident, radiant you!
Call Allouez Family Dental today at 920-339-8980 to find out more about a smile makeover in Green Bay. You can also make an appointment online.
